
8月16日下午,医院接诊了一个小男孩。妈妈牵着孩子的手,来到了口腔科,华华一张开嘴,在场的所有医生护士全部惊呆了。
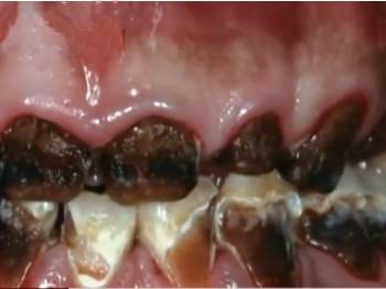
最恐怖的是,这个孩子嘴里光秃秃的,几乎看不到牙齿!
华华一共20颗牙,8颗牙烂的只剩下牙根,而且牙根现在全部变成了黑色。还有6颗牙都是齐根断了,孩子现在吃饭已经是个大问题了,根本无法咀嚼食物。
这实在让人感到不可思议,宝妈也是疑惑不解,华华的牙齿怎么会变成这副模样呢?
原来,华华一直是爷爷奶奶带大的。在他3岁那年,偶然一次机会,华华看见别人在喝可乐,于是也吵着要喝。这一喝就出事了,埋下了日后的祸根。自从喝上可乐以后,华华再也不肯喝水了,并且越来越严重,每天必须喝3瓶可乐,否则饭都不好好吃。
爷爷奶奶又不懂科学,过于疼爱孙子,一切都由着他。
更遭的是,华华每晚都要喝一大杯牛奶才肯睡觉。但是,喝过之后既不刷牙又不漱口,躺下就睡。要知道,牛奶是具有酸性的,发酵后会腐蚀牙齿。
医生说道,华华这个病用专业术语来讲的话,称为“可乐牙”。
近年来,牙医们发现了一个普通现象,有越来越多年幼的小孩 (甚至才18个月大的婴儿) 出现了严重的蛀牙情形,让头痛的医生们没有选择余地只好把全部蛀掉、腐蚀掉的乳牙拔光光。
很重要的原因就是孩子饮食方面摄入的糖分过高。医生说有很多小孩奶瓶里都出现了可乐,而基本上蛀牙就是靠摄取人类嘴巴里的糖来生存,而吸收完糖分后细菌就会产出会腐蚀牙齿的酸性物质,会导致牙齿渐渐被腐蚀掉。
而如果不乖乖刷牙,把牙齿上的细菌与酸性物质去除掉,口中牙齿蛀牙的机率就会大大提升。现在许多爸妈因为没有考虑到其实果汁、补充营养品、气泡饮料甚至是不含糖饮料对牙齿都有害!
现在的宝妈们对宝宝什么时候长牙都十分的关注,但是没有多少妈妈对宝宝长出的乳牙做到精心呵护,很多妈妈都认为乳牙是不必管的,因为孩子以后会换一口恒牙,这种观点是不科学的。从宝宝长出第一颗乳牙的时候,妈妈就应该为孩子做好护牙的工作。
1、影响消化,造成偏食
咀嚼是宝宝消化的第一步,如果宝宝乳牙受到了损害,那么必然影响宝宝消化,各种消化不良的疾病必定会“接踵而至”。同时,宝宝会为了避免牙齿的疼痛而拒绝食用某些事物,长此以往很可能养成挑食等不良的饮食习惯。
2、不利于宝宝正确发音
宝宝的乳牙特别是门牙脱落过早的话,对宝宝的发音影响也有一定影响的,据科学研究表明,拥有健康乳牙的宝宝比那些乳牙护理不到位的宝宝更早学会说话。
3、影响宝宝恒牙的发育
宝宝的乳牙是恒牙发育的“向导”,恒牙会沿着宝宝乳牙的轨迹进行萌出,如果不注意恒牙的保护而导致恒牙过早的脱落,那么恒牙的发育就得不到它应有的空间变得参差不齐。同时,乳牙的过早脱落会造成对牙根的使用过度,在此基础上长出的恒牙也不会牢固。
4、乳牙龋齿危害很大
不注意乳牙的保护,很容易造成宝宝的患上龋齿。很多妈妈觉得乳牙得了龋齿不重要,因为迟早要掉,但实际上乳牙龋齿会严重影响宝宝的咀嚼能力,影响恒牙发育的美观,影响宝宝颌骨发育,严重乳牙的龋齿还可能是“变形链球菌”(龋齿的致病菌)进入血液循环,影响宝宝的心脏,肾脏等器官的健康。
妈妈们一定要记住,如果你已经忽视了宝宝第一颗牙的保护,那么接下来的工作一定不要忘。
1、正确锻炼宝宝的咀嚼能力
宝宝天生喜欢甜味的食品,所以在妈妈往往喜欢给宝宝过多的果汁等比较甜的饮品,但实际上大多数冲调的果汁都含有大量的糖分,对宝宝乳牙的伤害较大,与其给宝宝喂果汁,不如给宝宝喂食可以咀嚼的水果(太小的婴儿除外),这样既可以锻炼宝宝乳牙的咀嚼能力,又可以减少糖分对乳牙的侵蚀。
尽量少或者不要给宝宝食用碱性离子饮料和碳酸类饮料。乳酸菌饮料中也含有大量的糖分和酸性离子,也尽量给宝宝少喝。此外,也要控制孩子食用零食、甜食的量。
2、注意宝宝手部卫生
宝宝在乳牙萌出期喜欢将手等食物放进嘴里,这是正常的现象,但是妈妈要注意给宝宝勤洗手,这样才能保证手部健康,预防宝宝将手上的细菌带进口腔,影响乳牙的健康。纠正孩子咬手指、咬笔杆等不良习惯。
3、戒掉宝宝含着奶瓶入睡的习惯
奶瓶喂养不能超过一岁半,不要含奶瓶睡觉,因为奶瓶中的液体会成为口腔内致龋细菌的极佳培养基,另外奶瓶液体中的碳水化合物会被细菌分解产酸,侵蚀牙齿,使牙齿脱矿溶解,形成龋齿。避免孩子躺着用奶瓶,易造成乳牙反咬合,俗称“地包天”。所以让宝宝戒掉含奶瓶入睡的习惯对宝宝的乳牙保护极其重要。
4、从小养成宝宝注意口腔清洁的习惯
当宝宝第一颗牙齿萌出之后,妈妈最好就要在宝宝喝完奶后为宝宝清洁下牙齿,常规的做法是可以用柔软的纱布、口腔湿巾或者指套牙刷轻柔的为宝宝清洁牙齿;当宝宝一周岁后要养成每餐饭后清洁牙齿的习惯;宝宝两岁后就可以教宝宝刷牙了,这个时候选用健康的儿童牙膏与牙刷教宝宝早晚刷牙和饭后漱口都是有益的。
需要注意的是一定要坚持执行下去,从小养成良好的口腔卫生习惯对宝宝的牙齿健康十分有益,一口好牙也能让宝宝更加的自信。
5、不能忽略宝宝乳牙龋齿的治疗
很多妈妈认为,乳牙反正要换,所以即便得了龋齿也无所谓。这个想法是错误的!
乳牙是恒牙的基础,如果乳牙比自然脱落拔除的时机还早,就有可能造成日后恒齿牙列拥挤,牙齿就会长得歪七扭八!对大多数人来说,牙列拥挤目前是无法矫正的,这样小时候蛀牙造成的伤害就会一直延续到人老去为止。
当发现宝宝有龋齿时,一定要重视,及时就医寻求专业的解决方法,在乳牙阶段就消灭龋齿比以后的弥补更加重要。
所以,要记得预防胜于治疗,家长们一定要注意,除了平时戒掉孩子高糖分饮食外,定期关注孩子的牙齿状况并好好给孩子刷牙吧!
选择阿城米兰宝贝拍照的六大理由
1、优质的品牌
2、顶级的团队为您服务
3、优质服务
4、无闪百天棚
5、韩式实景棚360度拍摄
6、服装全天消毒
QQ:2226030078
TEL:13796204128 丽影
网址:http://www.acmlzl.cn
公众微信号:mlbb8888
地址:牌路大街412号








